
セラミック治療とは、むし歯などで歯を失ったり、歯を削った場合に、
自然の歯と同じ質感であるセラミック素材を用いて、失った部分を補う治療方法です。
セラミックの歯は、天然の歯に近い透明性と色調で審美性に優れ、
金属アレルギーで銀歯を使用できない人にも適しています。
また、セラミックは非常に耐久性があり、寿命が長く劣化しにくいのも特徴です。
銀歯が目立つ
歯に隙間がある
歯の生え方や
形が気になる
自然な
美しい歯にしたい
金属アレルギー
がある

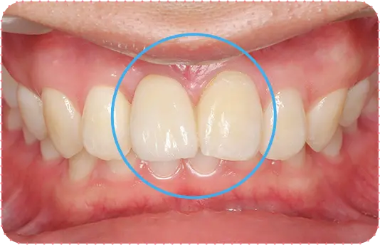
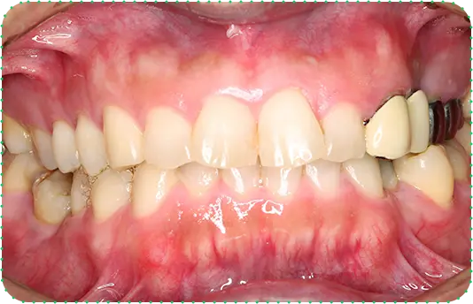
Before
After
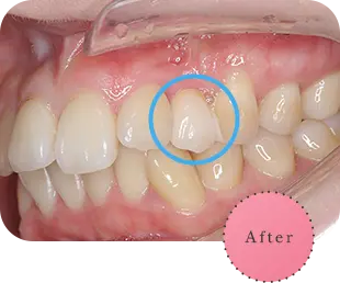
主訴
前歯をインプラントにしてほしい
治療期間
8か月
治療費
約150万円
治療内容
右上1番と左上1番をインプラント、右上2番をラミネートべニア、左上2番をセラミッククラウンにて修復
治療のリスク
治療後に口腔内管理が不適切な場合、埋入したインプラントが感染・炎症を起こす可能性があります。
しみたり、違和感が生じることがあります。咬み合わせによっては、セラミックが欠ける可能性があります。
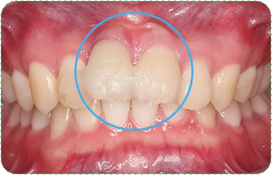
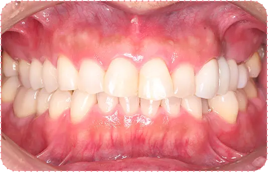
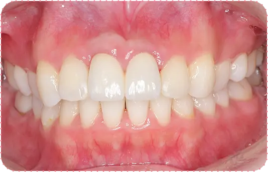
Before
After
主訴
前歯をきれいにしたい
治療期間
8か月
治療費
40万円
治療内容
右上2番をマウスピース矯正で移動してラミネートべニアにて修復
治療のリスク
【マウスピース】
矯正装置を初めて装着した時は、違和感や圧迫感、疼痛などを感じる場合があります。
歯根吸収や歯肉の退縮が起こる場合があります。
1日の装着時間が長いため、口内清掃不足だとむし歯・歯周病のリスクが高くなります。
歯の移動後に保定装置(リテーナー)の使用が不十分の際は、後戻りが生じる場合があります。
マウスピースの装着時間が少ないと治療期間が長引く場合があります。
【セラミック】
咬み合わせによっては、セラミックが欠ける可能性があります。
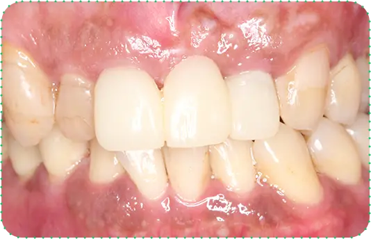
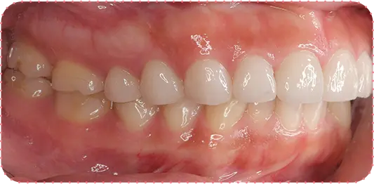
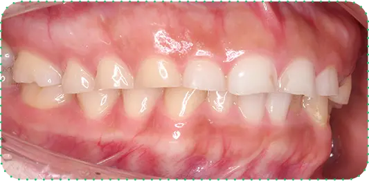
Before
After
主訴
上の前歯が抜けそう
治療期間
6か月
治療費
30万円
治療内容
右上1番を抜歯後に骨と歯茎を増やし、隣の歯の裏側を少量削り、接着性ブリッジにて修復
治療のリスク
咬み合わせによっては、セラミックが欠ける可能性があります。
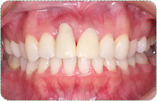
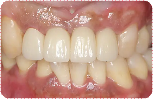
Before
After
主訴
上の前歯が長くて気になる
治療期間
9か月
治療費
30万円
治療内容
右上1番を小矯正治療にて歯茎を増やし、右上1番と左上1番をセラミッククラウンにて修復
治療のリスク
咬み合わせによっては、セラミックが欠ける可能性があります。
Before
After
主訴
歯がボロボロで気になる、短い歯をどうにかしたい
治療期間
1年
治療費
150万円
治療内容
歯肉整形術、右上1~5番と左上1~5番をセラミッククラウンにて修復
治療のリスク
咬み合わせによっては、セラミックが欠ける可能性があります。
Before
After
主訴
歯を白くしたい
治療期間
2週間~1か月
治療費
約3~5万円
治療内容
ホワイトニング
治療のリスク
個人差もありますが、しみる場合があります。
天然の歯と同じ色調を再現することができます。
他の歯と色調を揃えて作成することができるため、
治療した歯との見分けがつかないほど自然な仕上がりです。
天然の歯と同様の透明感があります。
自然なツヤ感と美しさで、口元が明るくなります。
セラミックは化学的に安定した素材であるため、
長く使用していくことによる着色がほとんど起こらず、
長く美しい状態を維持することができます。
セラミックは、耐久性が高いため、劣化が少なく、
長い間使用することができます。
噛む力が加わる奥歯の治療も可能です。
セラミックは、素材そのものに汚れが付きにくく、
長く美しさを維持できると同時に、
むし歯になりにくい特徴があります。
従来の治療では、やむを得ず歯を失ってしまった場合は、銀歯を用いて失った部分を補うのが一般的な治療でした。
銀歯はお口の様々な環境に耐えられる素材として最適である一方で、明らかに人工物であるとわかるため、天然の歯のような自然なお口を再現することができません。
その他にも、汚れが付きやすくむし歯になりやすかったり、長く使用することによる錆びや変形、歯茎が変色するメタルタトゥーなどのデメリットがあり、銀歯を使用した治療の6~7割の方が再治療になっているとも言われています。
セラミック治療が多くの患者様に選ばれる理由は、審美性と安全性にあります。
セラミックの加工技術の向上により、強度、質感、透明感が改善され、天然の歯と見分けがつかないほどの仕上がりが可能になりました。銀歯を気にして、口元に自信が持てず自然に笑うことができなかった方でも、セラミックで自然な口元を取り戻すことで、自信を持って笑うことができるようになり、精神的に前向きになったという声も多くあります。
優れた審美性は歯科治療においてとても重要です。
また、安全性が高いのも特徴です。安全性の面からセラミックをご希望される方も多くいらっしゃいます。従来の銀歯は長く使用すると様々な弊害がありましたが、セラミックは耐久性に優れ、化学的に安全な素材であるため、長い間安心して使用することができます。
審美性、安全性に優れたセラミックは、最適な選択肢といえます。
セラミックによって、歯先に透明感があり美しいのが特徴になります。プラークが付きづらく、衛生的で一生変色しません。
審美性
★
★
★
★
★
★
耐久性
★
★
★
★
★
★
人気度
★
★
★
保証
5年
プラークが付きづらく、衛生的で一生変色しません。
審美性
★
★
★
★
★
耐久性
★
★
★
★
★
★
人気度
★
★
★
★
保証
5年
プラークが付きづらく、衛生的で一生変色しません。透明感があり美しいですが、嚙み合わせ強い場合稀に割れることがあります。
審美性
★
★
★
耐久性
★
★
★
★
★
人気度
★
★
★
保証
5年
接着性ブリッジとは、従来の周りの歯を削って人工の歯を取り付けるブリッジ治療とは異なり、歯を削らずに隣の歯に人工の歯を接着させることで欠損した部分を補う治療法です。
接着させるだけで済むので周りの歯への負担を最小限に抑えることができます。
また、接着部分がむし歯になりにくいなどの特徴があります。
一方で、前歯などの限られた部分にしか適応できなかったり、保険が効かず治療費が比較的高額になりやすいなどのデメリットもあります。
マウスピース矯正(クリアコレクト)は、透明なマウスピースを装着し、徐々に歯を動かしていくことで歯並びを改善する矯正方法です。
従来の金属を使用したブラケット矯正とは異なり、目立ちにくく、食事などの際は取り外すことが可能なためストレスが少ない治療です。
また、通院の回数が少なく済むためお仕事などで忙しい方にもおすすめです。
複雑な症状には適応できない場合があるため歯科医師との相談が重要です。
まえだ歯科では、光学印象・口腔内スキャナーを用いて、お口の中をカメラでスキャンし、歯や顎の形を正確に計測して3Dのデジタルデータを取得します。従来の粘土(シリコン印象材など)を使用した歯の型採りとは異なり、口腔内スキャナーの先端部を口の中に挿入して、歯列を撮影するだけで型採りが完了します。
粘土での型採りに比べて、精度が高く、かかる時間が少ないのが特徴です。
また、嘔吐反射のある患者さんに対しても不快感の少ない、やさしい型採りをすることができます。
デジタル印象採得装置「TRIOS」は、口腔内のスキャンを行うための専用の光学スキャナです。
ヘッドが小さいためあらゆる角度から口の中のスキャンが可能です。
細部まで精密に捉えることができるため口腔内をリアルな色調で再現することができます。
1ご相談
患者様が気になっている点についてしっかりとヒアリングいたします。
ヒアリングの内容をふまえて、患者様のお口の状態を確認していきます。治療や検査について不安な点があれば、お気軽にお申し付けください。
2デンタルデータの
収集
まえだ歯科では、3D口腔スキャナー(TRIOS)を用いて、歯や顎の形を正確に計測し、デジタルデータを収集します。
正確なデジタルデータを収集することで、患者様に合った最適な治療を実現しています。
3シミュレーション
収集したデータをもとにして、患者様の口元に歯をはめ込んだイメージを作成いたします。
事前に治療後のイメージを見ることができるため、安心して治療に進むことができます。
4治療開始
シミュレーションで治療後の状態を確認し、治療内容にご納得いただけますと治療を開始します。
初めは仮の歯で歯の形状、発音、咀嚼などの使用感を確認します。その後、セラミックの歯が出来上がり次第、実際にセラミックの歯を装着します。
健康保険が適用される治療です。
機能の回復を目的とした基本的な治療を低価格で受けることができます。
機能の回復に重点を置いているため、透明感や質感などの審美性は優れていない場合があります。
自費診療は、治療に要する費用の全額を患者様が負担し、治療を行います。
治療方法や使用する素材に制限がなく、審美性、機能性、共に優れた高度な治療が可能です。
審美歯科(補綴物)ジルコニアクラウン
(主に臼歯)
93,500円
ジルコニアレイヤー
(主に前歯)
126,500円
ジルコニアボンド
154,000円
メタルボンド
99,000円
e-maxインレー
77,000円
ラミネートベニア
115,500円
接着性ブリッジ
(ジルコニアボンド
154,000円・
ウイング
22,000円)
176,000円
審美歯科(補綴物)オフィス
ホワイトニング
初回 片顎:22,000円
2回目以降:11,000円
ホーム
ホワイトニング
(オーパーホワイト
エッセンス)
片顎:27,500円
全顎:38,500円
ホーム
ホワイトニング
(オーパーホワイト
エッセンスGO)
19,800円
デュアルホワイトニング
49,500円
インナーブリーチ 1回
5,500円
マウスピース矯正基本料金
半年以内
440,000円
1年程度
550,000円
1年以上
770,000円
診断料
16,500円
調整料
エンゲージャー
5,500円
IPR
5,500円
MFT
3,300円
※費用は全て税込み価格です。
現金でのお支払い
振込でのお支払い
VISA, MasterCard,
DC,AMERICANEXPRESS,など
デンタルローンを利用した
低金利でのお支払い

医療費控除とは、1年間に支払った医療費が一定の基準を超えている場合、税務署へ確定申告届を提出することで、
超過支払い分の医療費が課税対象の所得から控除され、税金の一部が還付される制度です。
セラミック治療の費用も医療費控除の対象です。
手続きや詳細な情報につきましては、お住まいの管轄の税務署へお問合せください。
※横にスクロールしてご覧ください。
所得税の還付金
住民税の軽減額
戻ってくる税額
医療費の総額(1年分)
50万円
100万円
150万円
150万円
80,000円
180,000円
280,000円
380,000円
120,000円
270,000円
420,000円
570,000円
132,000円
297,000円
462,000円
627,000円
172,000円
387,000円
602,000円
817,000円
200,000円
450,000円
700,000円
950,000円
※横にスクロールしてご覧ください。
※この表の戻ってくる税額は、基礎控除(38万円)のみ受けているものとして計算しています。保険金などで補われる金額がない場合の計算です。
※所得税と住民税の還付額を合算した金額です。

セラミック治療にご興味のある方はお気軽にお問い合わせください。
ご相談のみのご連絡も承っております。
月~土曜日 9:00-12:30 / 14:00-18:00
※休診(日曜日・祝祭日 / 水曜日、第1土曜日、第3土曜日の午後)